Skip to main content
Main University Website ecdc website Creutzfeldt-Jakob Disease International Surveillance Network

formerly EuroCJD

  • About Us
  • Resources
    • Data
      • Data Tables
    • Key documents
    • Images
    • Links
    • Publications
  • News
  1. Images
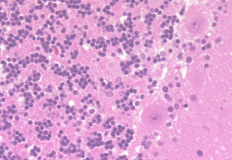
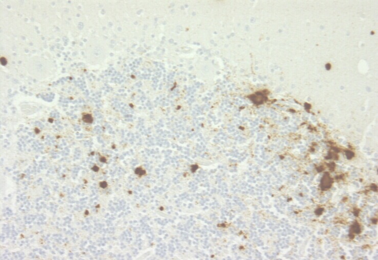
  2. Growth Hormone

Growth Hormone

H&E
H&E
PrP
PrP

Funding for this ECDC project ended in April 2021. The site will not be updated but will continue to exist as there are numerous training areas that will be still in use and referred to externally as well as statistics up to the end of 2020.

The University of Edinburgh is a charitable body, registered in Scotland, with registration number SC005336, VAT Registration Number GB 592 9507 00, and is acknowledged by the UK authorities as a “Recognised Body” which has been granted degree awarding powers. Unless explicitly stated otherwise, all material is copyright © The University of Edinburgh .

Contact us:
cjd.contact@ed.ac.uk

  • Privacy Statement
  • Accessibility Statement