Skip to main content
Creutzfeldt-Jakob Disease International Surveillance Network
formerly EuroCJD
About Us
Resources
Data
Data Tables
Key documents
Images
Links
Publications
News
Images
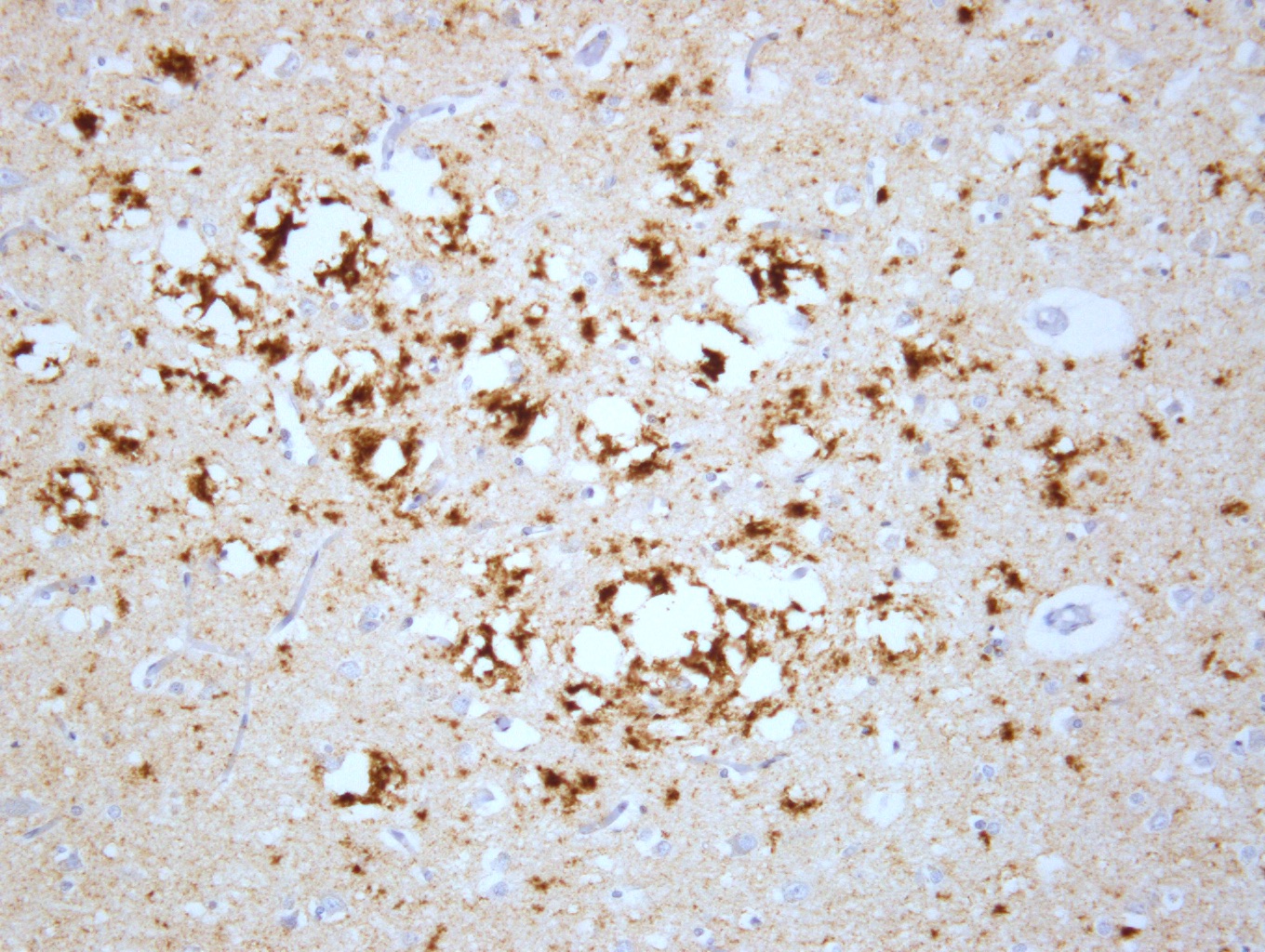
MM2A (cortical) subtype
MM2A (cortical) subtype
H&E
PrP